どれがインプラントか分かりますか?👀ジルコニアインプラントの症例🦷💎
2025/10/18
こんにちは🌿
ザ・インプラントクリニック福岡の歯科衛生士です。

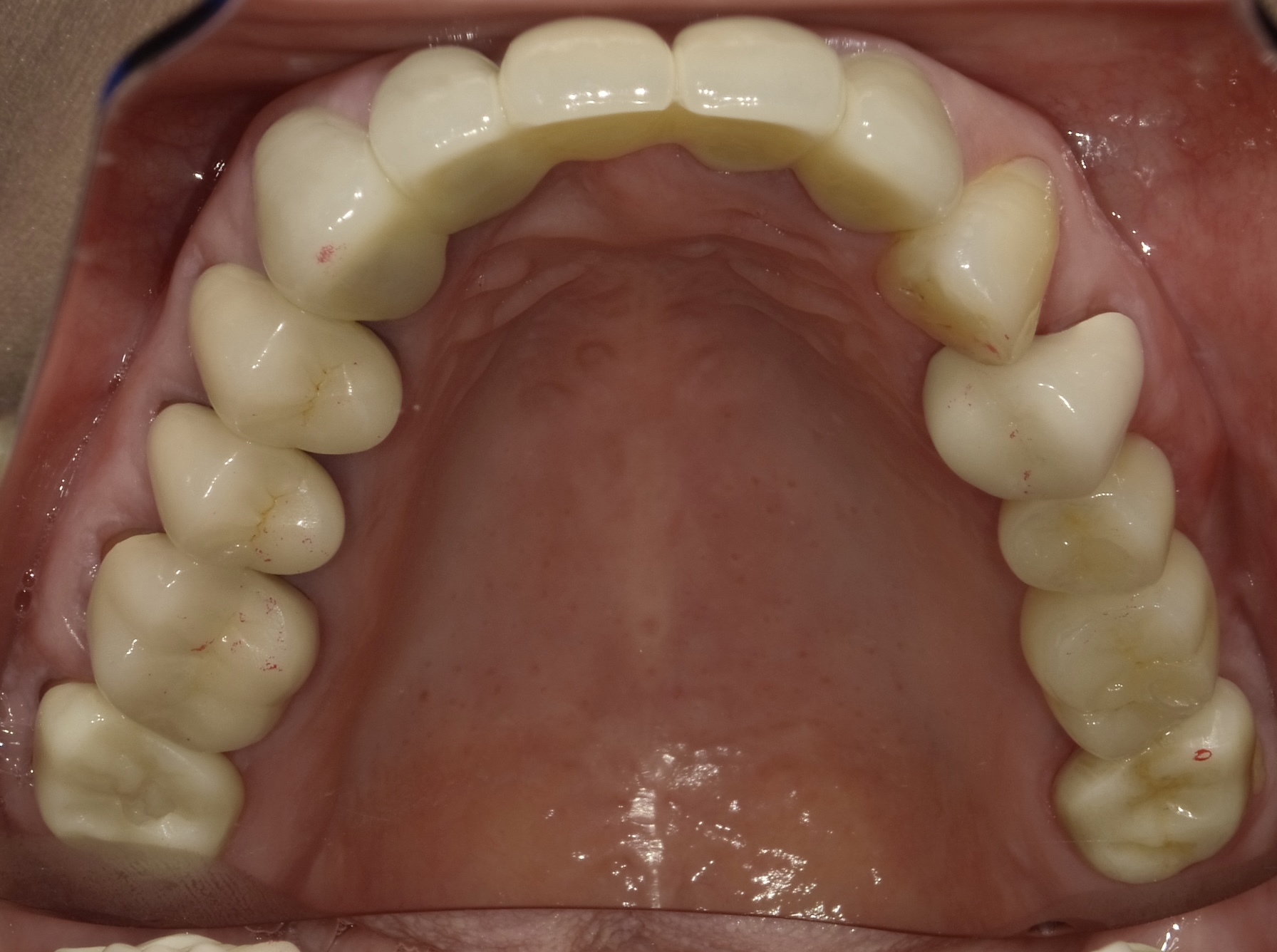
上のお写真は、当院でインプラント治療を受けられた患者様の症例です🦷
どれがインプラントかわかりますか?👀
正解はこちら!

実はこのインプラントは「ジルコニア」で作られており、
天然の歯と見分けがつかないほど自然なんです✨

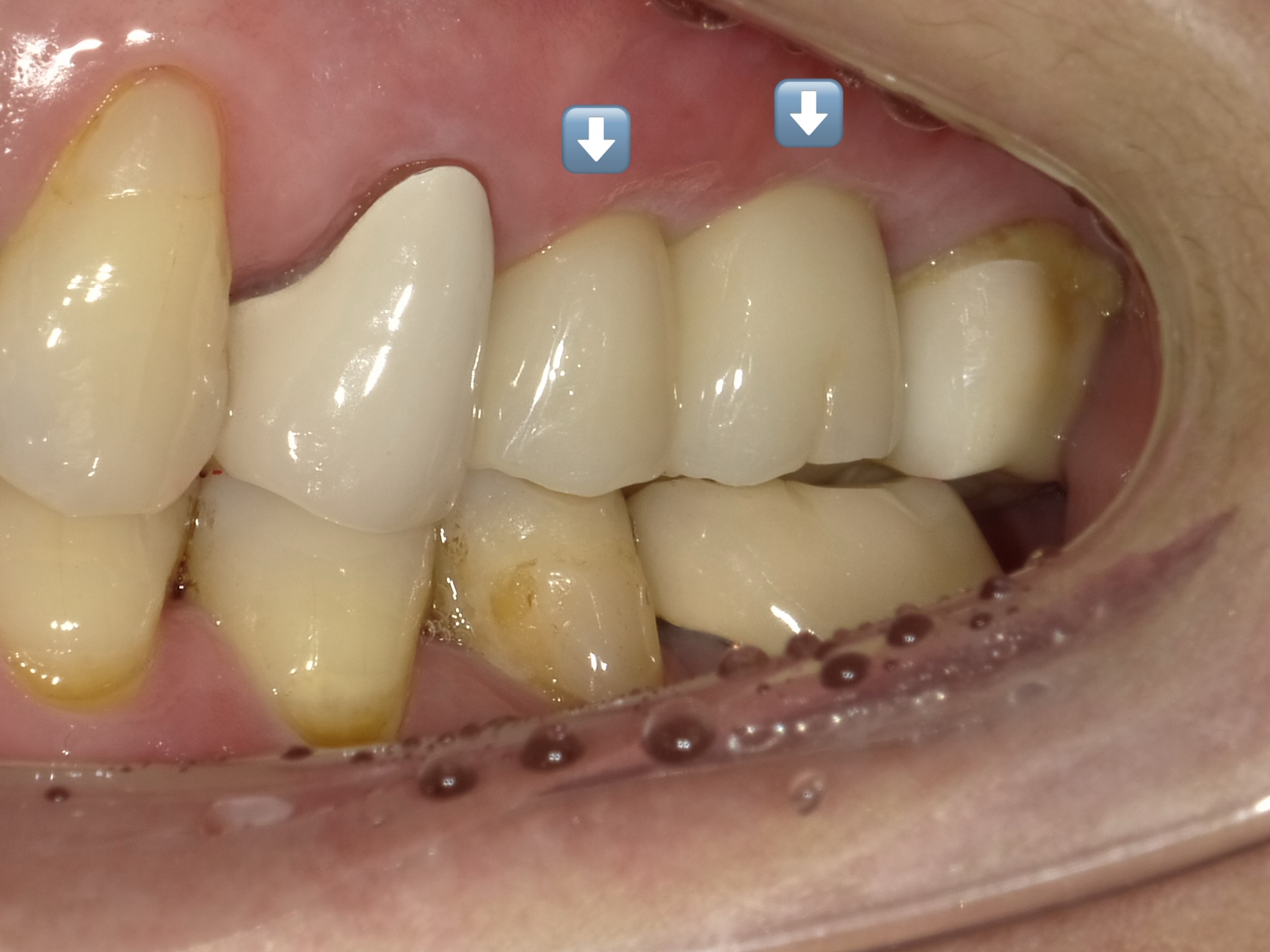
横から見ても適合はばっちりで、まるでご自身の歯のよう。
装着後には患者様から
「まったく違和感がない!」と大感激のお言葉をいただきました😊
見た目も機能も美しく仕上がるインプラント治療、
ぜひ当院でご体感ください✨





